Dents absentes : causes, conséquences et impact sur votre santé bucco-dentaire

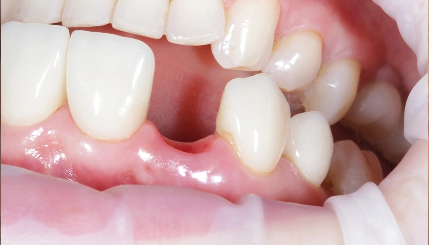
La perte d’une ou plusieurs dents ne concerne pas seulement l’esthétique du sourire, mais peut avoir de nombreuses répercussions sur la santé bucco-dentaire, la mastication, la parole et même la structure du visage. Une dent absente, qu’elle soit due à une extraction, un traumatisme ou une maladie comme la parodontite, crée un déséquilibre dans la bouche. Les dents voisines peuvent se déplacer, l’os alvéolaire peut se résorber, et la mastication devient moins efficace. Au cabinet du Dr Hiba AMMAR, nous accompagnons nos patients pour comprendre les causes de cette perte dentaire, anticiper les complications et envisager les solutions les plus adaptées à chaque situation.

Causes fréquentes de dents absentes

Conséquences possibles

Pourquoi remplacer une dent manquante ?

Une ou plusieurs dents manquantes ne doivent jamais être ignorées, même si elles ne provoquent pas de douleur immédiate. Avec le temps, les dents voisines peuvent bouger, créant des espaces, des malocclusions, voire des tensions musculaires. La résorption osseuse est également une conséquence fréquente : l’os qui n’est plus stimulé par la racine se rétracte progressivement, ce qui complique les futures restaurations (implants, prothèses) et modifie le volume du visage. Un remplacement dentaire précoce permet donc non seulement de retrouver un sourire complet, mais aussi de préserver les fonctions de mastication, la stabilité des dents restantes, et l’harmonie du visage.

Retrouvez un sourire complet, stable et confortable. Prenez rendez-vous dès maintenant avec le Dr Hiba AMMAR pour évaluer la meilleure solution à vos dents absentes.

Les enjeux des dents absentes à ne pas négliger

 Une dent manquante peut entraîner bien plus que de simples trous dans le sourire. Voici ce qu’il faut savoir sur les risques associés.

Les conséquences fonctionnelles

Une dent en moins perturbe l’équilibre de la mâchoire. La mastication devient asymétrique, ce qui surcharge les autres dents et peut provoquer des douleurs ou une usure prématurée.

Les effets esthétiques et psychologiques

L’absence visible d’une dent affecte la confiance en soi, le sourire et parfois même la prononciation. Sur le long terme, cela peut impacter les relations sociales et professionnelles.

La résorption osseuse

L’os alvéolaire qui soutient les dents a besoin de stimulation. Sans racine, il se résorbe, rendant le visage plus creusé et vieillissant, et compliquant les traitements ultérieurs.

Le déplacement des dents restantes

Quand une dent est absente, ses voisines peuvent se pencher ou bouger, créant des espaces ou des malpositions. Cela peut entraîner des douleurs, des caries ou des problèmes d’occlusion.

Solutions recommandées pour ce problème

Prothèses dentaires


Une solution efficace pour remplacer plusieurs dents manquantes, restaurer votre sourire et améliorer votre confort au quotidien.

Bridge dentaire


Comblez l’espace laissé par une dent manquante avec une prothèse fixe appuyée sur les dents voisines, sans chirurgie.