Coloration dentaire : comprendre les causes et les impacts sur votre sourire
Des dents jaunes, ternes ou tachées peuvent altérer la beauté naturelle de votre sourire, même si elles sont parfaitement saines. La coloration dentaire est un motif fréquent de consultation, car elle affecte l’esthétique du visage, l’estime de soi et parfois les relations sociales. Il existe plusieurs types de coloration : extrinsèque (dépôts en surface), intrinsèque (pigmentations internes), ou liée à l’âge et aux habitudes de vie. Que vous souhaitiez simplement raviver l’éclat de vos dents ou corriger une teinte gênante, il est essentiel de comprendre l’origine de la décoloration pour envisager une solution adaptée. Le cabinet du Dr Hiba AMMAR vous accompagne dans l’identification des causes et vous oriente vers une prise en charge personnalisée.
Causes fréquentes de coloration dentaire
- Consommation de café, thé ou tabac
- Hygiène bucco-dentaire insuffisante
- Vieillissement naturel de l’émail
- Prise de certains médicaments (ex. : tétracyclines)
- Chocs ou traumatismes anciens
Conséquences possibles
- Sourire terne ou jauni
- Perte de confiance en soi
- Difficultés à assumer les photos ou les échanges sociaux
- Apparence négligée malgré une bonne hygiène
- Refus de sourire ou de s’exprimer librement
Pourquoi les dents changent-elles de couleur ?
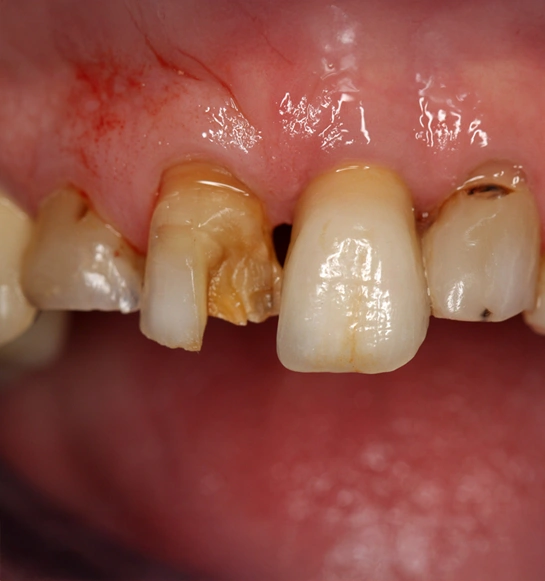
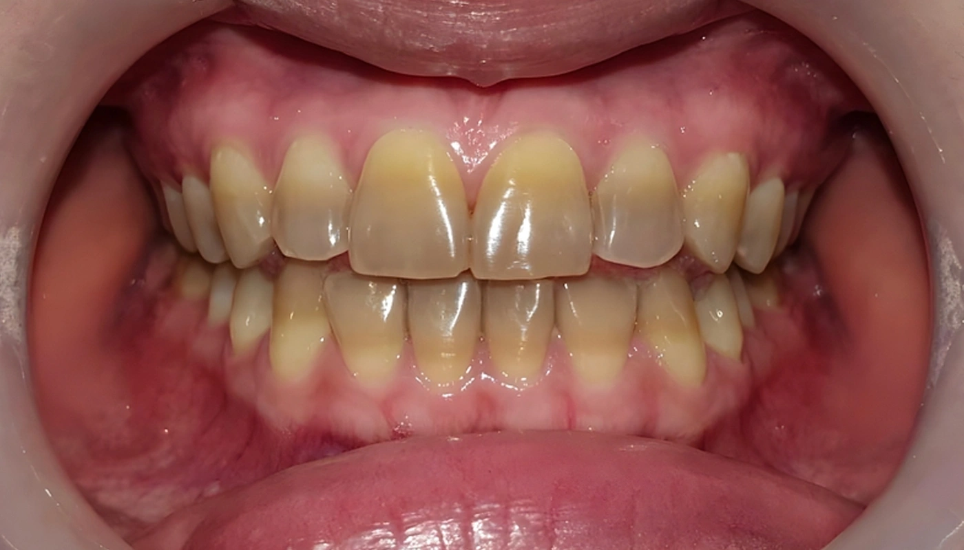
La couleur naturelle des dents varie d’une personne à l’autre, mais plusieurs facteurs peuvent altérer cette teinte au fil du temps. Les colorations extrinsèques sont dues à des dépôts en surface provoqués par l’alimentation, les boissons colorées ou le tabac. Elles peuvent souvent être corrigées par des soins doux. En revanche, les colorations intrinsèques, plus profondes, résultent de la prise de médicaments pendant l’enfance, de traumatismes ou de traitements médicaux, et nécessitent une approche plus spécifique. Le vieillissement naturel entraîne aussi une perte d’éclat : l’émail s’affine et laisse transparaître la dentine, plus foncée. Identifier la nature de la coloration est donc indispensable avant d’envisager tout traitement esthétique.
Redonnez à votre sourire tout son éclat. Prenez rendez-vous dès aujourd’hui avec le Dr Hiba AMMAR pour une évaluation esthétique et un plan de soin adapté.
Ce qu’il faut savoir sur les colorations dentaires
Un sourire éclatant repose sur bien plus que l’hygiène : découvrez les mécanismes de la coloration dentaire et ses différentes formes.
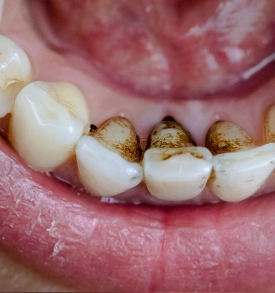
Colorations extrinsèques (en surface)
Provoquées par l’accumulation de pigments alimentaires ou de tabac sur l’émail. Elles sont souvent réversibles avec des soins appropriés et une hygiène régulière.
Colorations intrinsèques (en profondeur)
Elles affectent la dent de l’intérieur, suite à la prise de médicaments (comme les tétracyclines), à un traumatisme ou à une fluorose. Elles sont plus difficiles à éliminer.
Coloration liée à l’âge
Avec le temps, l’émail s’use, rendant les dents naturellement plus jaunes. Ce processus est progressif mais peut être ralenti ou corrigé esthétiquement.
Erreurs d’hygiène et facteurs aggravants
Un brossage insuffisant, l’absence de détartrage ou l’usage de dentifrices abrasifs peuvent accentuer les taches et ternir le sourire.
Solutions recommandées pour ce problème
Blanchiment dentaire
Ravivez l’éclat de votre sourire avec un éclaircissement professionnel, sûr et personnalisé, adapté à la teinte naturelle de vos dents.
Facettes dentaires
Corrigez les colorations profondes avec des facettes en céramique ultra-fines qui recouvrent la dent et offrent un sourire parfaitement harmonieux.

